平塚市にある
中原グリーン歯科の
インプラント治療が
これらのお悩みを解決します
インプラント認定医の資格をもつ医師が、
安全と安心に配慮しながら
患者さまのお悩みを多角的に解決します。
お気軽にご相談ください。
充実の最新設備と安全・安心に配慮した
万全の体制で患者さまの負担を和らげ、
満足度の高いインプラント治療を
提供します
インプラント認定医の資格をもつ医師が、
安全と安心に配慮しながら
患者さまのお悩みを多角的に解決します。
お気軽にご相談ください。
コミュニケーションを重視し、
「4Sコンセプト」など患者さまの負担を
軽減しながら上質なインプラント治療
をご提供しています。
「この歯科医院で治療を受けたい」と言っていただけるよう、お悩みに親身に寄り添い平塚市近隣の患者さまとの信頼関係を築きます。治療の費用や体への負担も含め、きちんとお話ししますのでご安心ください。
コミュニケーション
当院のインプラント治療は、ISOI(国際口腔インプラント学会)認定医の資格をもつ医師が担当します。多くの経験を重ねた医師が精確な検査・術前シミュレーションを行なったうえで治療します。
インプラント治療は外科処置をともない、治療期間も長く患者さまの負担が増加します。その負担を軽減し、より安全な医療を提供するための考え方が「4Sコンセプト」です。
※林 揚春先⽣は2000年代初頭より抜⻭即時埋⼊を提唱し、既存⾻を最⼤限に利⽤した低侵襲かつ短期間の患者⽬線のやさしいインプラント治療を実践・啓発してきました。私もそのコンセプトに惚れ込んだひとりです。 4Sコンセプト
現在のお口の状態や口腔内環境を丁寧に確認したうえで、患者さまにとって適切な治療法を検討します。治療期間の短縮と身体への負担軽減を図るため、抜歯即時埋入やAll-on-4、グラフトレス治療など、複数の選択肢の中から口腔内の条件に合わせた方法をご提案します。

抜歯と同時にインプラントを埋入する方法です。抜歯後の歯肉が治癒する期間を短縮し、全体的な治療期間を短くできます。

ほとんどの歯を失っている、総入れ歯で不具合を感じている方に片顎に4本のインプラントを埋入して、全ての人工歯列を支える治療法です。

顎骨の厚みや高さが足りず、治療が難しいと言われた場合にショートインプラントの使用、 All-on-4、傾斜埋入などで対応する治療法です。
歯科用CTをはじめ、インプラント治療を安全・安心に実施するための設備を複数導入しています。事前シミュレーションのもと、手術当日はプラズマ処理を施したインプラントを埋入します。



当院の2階にある松下医院と連携を取ることで、全身の健康維持に貢献しています。ほかにも、大がかりな治療が必要な場合は大学病院などと連携し、より安全・安心な医療をご提供します。
中原グリーン歯科にインプラント治療なら
これまでインプラント治療を断念されていた方にも、
患者さま一人ひとりに適した治療法を提案し、
最新の技術と設備で、自然な笑顔と食事を取り戻せる治療を行います。
インプラント治療にも、
さまざまな方法があります。
患者さまのお口の状態や
ご希望をお伺いしたうえで、
治療法をご提案します。

抜歯するタイミングでインプラントを埋入する方法です。通常、抜歯後に歯肉が治癒してから改めてインプラント埋入手術を行ないますが、この方法では歯を抜いた後の穴を利用します。その結果、抜歯後の治癒期間を短縮し相対的な治療期間を短くできます。

片顎に4または6本のインプラントを埋入して、全ての人工歯を支える治療法です。ほとんどの歯を失っている、総入れ歯を使用中で不具合を感じている方などに実施します。その日のうちに新しい歯を装着するため、日常生活への支障がほとんどありません。

鎮静剤を静脈内に投与し、うとうとしたリラックス状態で治療を受けられます。外科処置をともなう歯科治療に不安や恐怖を強く感じる患者さまに使用します。鎮静剤の投与中は患者さまの脈拍や血圧をモニタリングし、安全に配慮した状態で実施しますので、ご安心ください。
現在のお口の状態や使用中の入れ歯について、
お悩みはありませんか?
そのまま放置せず、
解決策を一緒に探していきましょう。
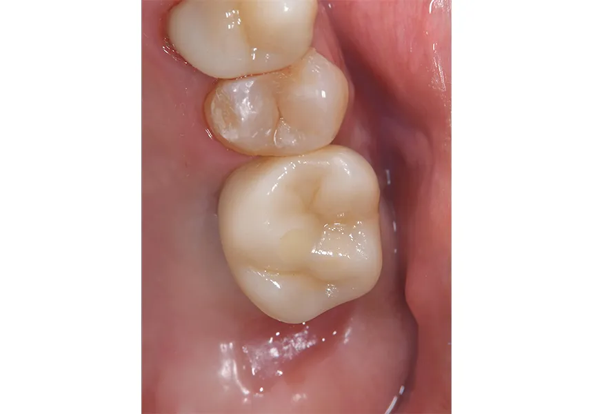
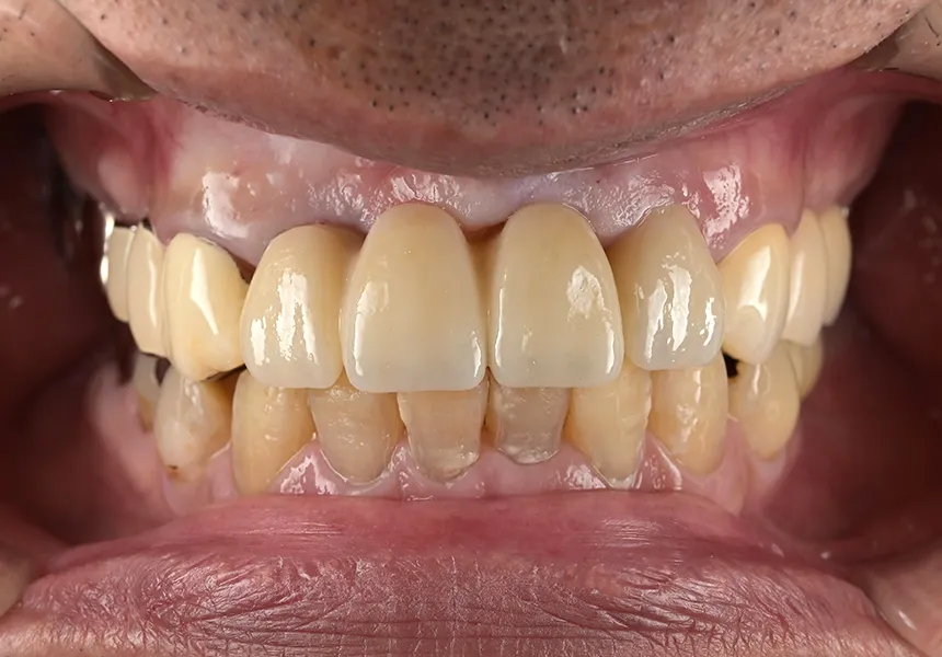
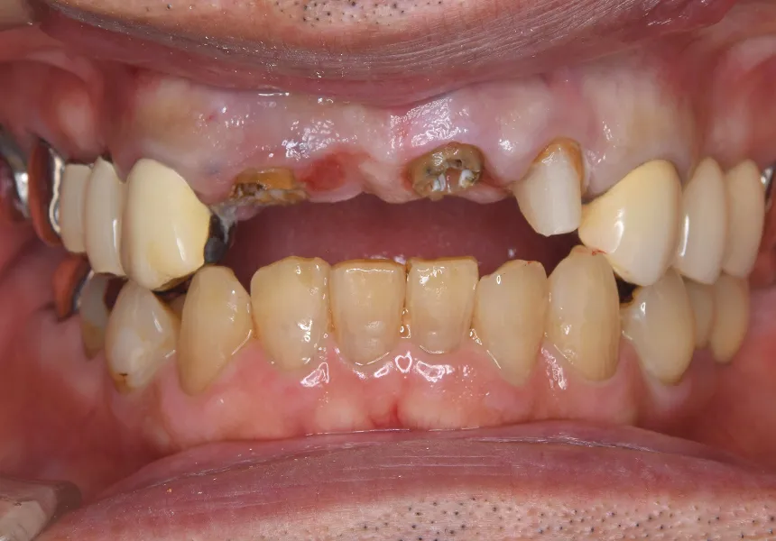
インプラント治療を受けられた方の
症例写真をご紹介しています。
お口のお悩みをもち、
治療を検討されている方は
ご参考にしてください。
失った歯を補う治療法の1つです。
入れ歯やブリッジと異なり、
外科処置をともないますが、
機能性と審美性の両方を回復できます。
歯を失った部分に歯根の代わりになるインプラントを埋入して、噛む力を回復します。噛む力が顎にしっかりと伝わり、顎骨が痩せるのを防ぎながら自然な見た目の口元に仕上げます。
インプラント治療とは
ISOI(国際口腔インプラント学会)認定医の資格をもつ医師が治療を担当します。「4Sコンセプト」のもと、患者さまの負担を軽減し、安全なインプラント埋入のためにガイデッドサージェリーなど実施しています。
当院のインプラント治療
まずカウンセリングで患者さまのお悩みやお口の状態を確認します。患者さまの同意を得たうえで治療を開始します。外科処置を行なったのち、治癒期間を経て上部構造を装着して治療は完了です。
インプラント治療の流れ
患者さまの口元の状態やご希望を考慮し、さまざまな治療法でお応えしています。治療期間を短縮できる抜歯即時埋入をはじめ、4本のインプラントで全ての人工歯を支えるAll-on-4などをご提案します。
さまざまなインプラント治療
インプラント埋入には顎骨に充分な厚みや高さが必要になります。当院では骨が少ないと言われた方には、傾斜埋入やショートインプラントを使用したグラフトレス治療を行ないます。
骨の少ない方への治療
治療後はインプラント周囲を清潔に保ち、より長く使えるようにサポートします。また、インプラントに関するトラブルや他院での治療で気になることがあれば、ご相談をお受けしています。
治療後のメンテナンス
インプラント治療でよくいただく質問をQ&A形式で回答しています。治療を迷っている方、費用や治療期間はどのくらいかかるのか、どのような治療法があるのか知りたい方は、まずはこちらをご覧ください。
よくある質問
はじめまして、平塚市、中原グリーン歯科院長の松下 知裕です。
当院では、林 揚春先生が提唱した「4Sコンセプト」のもと患者さまの負担を軽減しながら、より上質なインプラント治療の提供に努めています。ISOI(国際口腔インプラント学会)認定医の資格をもつ歯科医師が治療を担当し、患者さまのご希望やお口の状態を考慮した方法のなかから適切な治療法をご提案します。安全・安心でハイレベルな治療をご提供するために、最新設備も取りそろえて検査から治療後のメンテナンスまでしっかりとサポートします。
お口の健康は全身にも大きな影響を与えます。当院のみで治療が難しい場合は、近隣の大学病院と連携を取れる体制を整えています。また、持病のある方には併設する医院と連携して、治療方針を決定しています。インプラント治療を通じて、お口から全身の健康維持に貢献してまいります。
| 日曜 | 月曜 | 火曜 | 水曜 | 木曜 | 金曜 | 土曜 |
|---|---|---|---|---|---|---|
| 1 | 2 | 3 | 4 | |||
| 5 | 6 | 7 | 8 | 9 | 10 | 11 |
| 12 | 13 | 14 | 15 | 16 | 17 | 18 |
| 19 | 20 | 21 | 22 | 23 | 24 | 25 |
| 26 | 27 | 28 | 29 | 30 |
| 日曜 | 月曜 | 火曜 | 水曜 | 木曜 | 金曜 | 土曜 |
|---|---|---|---|---|---|---|
| 1 | 2 | |||||
| 3 | 4 | 5 | 6 | 7 | 8 | 9 |
| 10 | 11 | 12 | 13 | 14 | 15 | 16 |
| 17 | 18 | 19 | 20 | 21 | 22 | 23 |
| 24 | 25 | 26 | 27 | 28 | 29 | 30 |
| 31 |