Case
症例集
症例のご紹介
中原グリーン歯科で実際にインプラント治療を受けられた方の症例写真をご紹介しています。治療前後でどのように改善されるか一目でおわかりいただけますので、お口のお悩みがある方、治療を検討されている方はぜひご参考にしてください。
※症例写真について
- すべて当院で治療を完了し、掲載の許可をいただいた患者さまのものです。
- トリミング(切り抜き)などを除き、画像の修正は行なっていません。
- 治療はすべて各患者さま固有の症例に対応したものであり、ほかの方への治療結果を保証するものではありません。
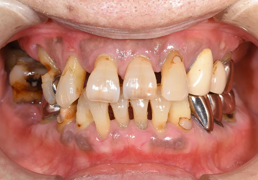
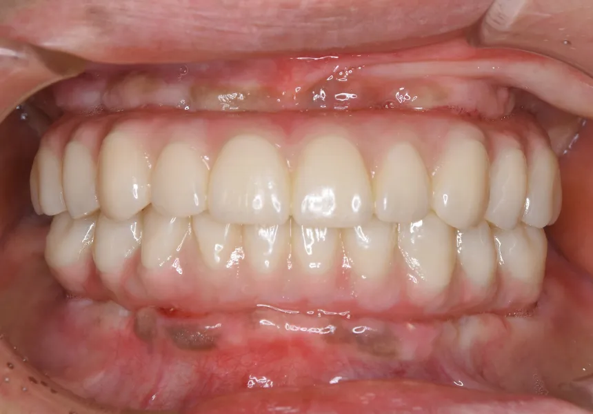
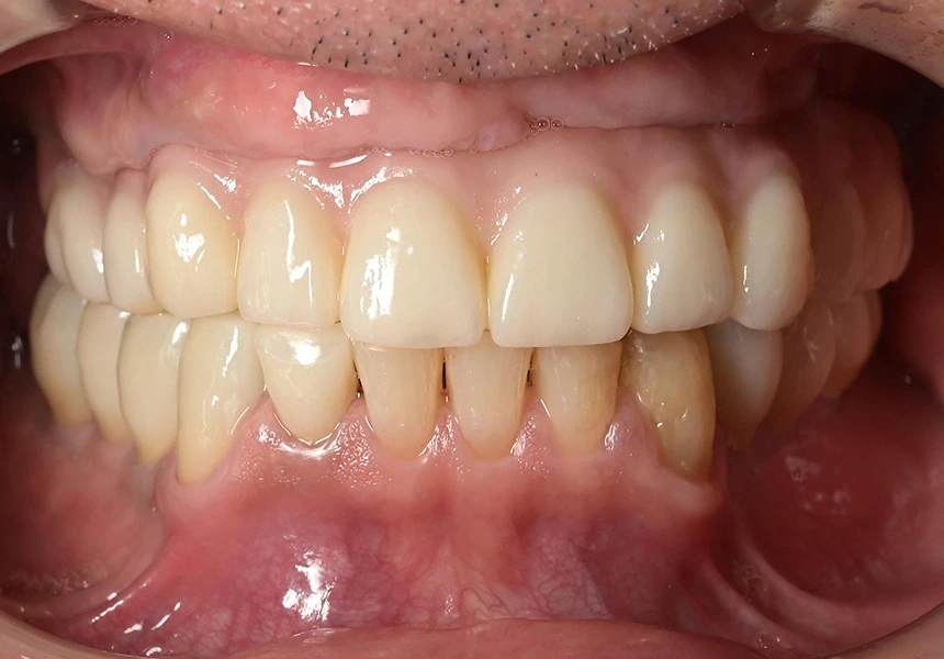
症例1


- 治療名
前歯インプラント治療
- 患者様(性別・年代)
男性 60代
- 費用
1,027,400円
- 期間
5ヶ月
- 患者様の症状
被せものがとれた
- 治療法
抜歯即時インプラント インプラントBr
- 治療結果
初期固定も問題なく安定が確認でき、仮歯での経過も良好なため、最終的な歯の装着へ進みました。
- 治療を行う上での 注意点
(リスク・副作用) - 機能性や審美性を重視するため自費(保険適用外)での診療となり、保険診療よりも高額になります。
- インプラントの埋入にともない、外科手術が必要となります。
- 毎日の清掃が不十分だった場合、インプラント周囲炎(歯肉の腫れや骨吸収など)を引き起こすことがあります。
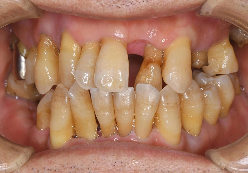
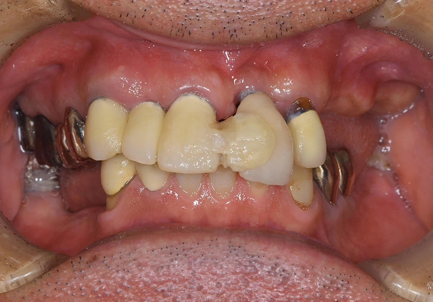
症例2


- 治療名
インプラント治療
- 患者様(性別・年代)
男性 40代
- 費用
442,300円
- 期間
3ヶ月
- 患者様の症状
被せものがとれた
- 治療法
抜歯即時インプラント
- 治療結果
初期固定も問題なく安定が確認でき、仮歯での経過も良好なため、最終的な歯の装着へ進みました。
- 治療を行う上での 注意点
(リスク・副作用) - 機能性や審美性を重視するため自費(保険適用外)での診療となり、保険診療よりも高額になります。
- インプラントの埋入にともない、外科手術が必要となります。
- 毎日の清掃が不十分だった場合、インプラント周囲炎(歯肉の腫れや骨吸収など)を引き起こすことがあります。
症例3


- 治療名
インプラント治療
- 患者様(性別・年代)
女性 70代
- 費用
片顎 3,200,000円
- 期間
6ヶ月
- 患者様の症状
全部の歯がぐらぐらでかめない。
- 治療法
上下顎 オールオン4 抜歯即時インプラント
- 治療結果
初期固定も問題なく安定が確認でき、仮歯まで装着。
その後の経過も良好なため、最終的な歯の装着へ進みました。
- 治療を行う上での 注意点
(リスク・副作用) - 機能性や審美性を重視するため自費(保険適用外)での診療となり、保険診療よりも高額になります。
- インプラントの埋入にともない、外科手術が必要となります。
- 毎日の清掃が不十分だった場合、インプラント周囲炎(歯肉の腫れや骨吸収など)を引き起こすことがあります。
症例4



- 治療名
インプラント治療
- 患者さま(性別・年代)
男性 60代
- 費用
片顎 3,200,000円
- 期間
6ヵ月
- 患者さまの症状
グラグラして歯が抜けそう。
- 治療法
上下顎 オールオン4 抜歯即時インプラント
- 治療結果
初期固定も問題なく安定が確認でき、仮歯まで装着。
その後の経過も良好なため、最終的な歯の装着へ進みました。
- 治療を行なううえでの注意点
(リスク・副作用) - 機能性や審美性を重視するため自費(保険適用外)での診療となり、保険診療よりも高額になります。
- インプラントの埋入にともない、外科手術が必要となります。
- 毎日の清掃が不十分だった場合、インプラント周囲炎(歯肉の腫れや骨吸収など)を引き起こすことがあります
症例5



- 治療名
上オールオン6
- 患者さま(性別・年代)
男性 50代
- 費用
4,080,000円
- 期間
8ヵ月
- 患者さまの症状
上の歯とインプラントがグラグラして、奥歯がなくぼろぼろで噛めない。
- 治療法
上オールオン6 下左右奥歯インプラントブリッジ(それぞれで880,000円) 抜歯即時インプラント
- 治療結果
初期固定も問題なく安定が確認でき、仮歯まで装着。
その後の経過も良好なため、最終的な歯の装着へ進みました。
- 治療を行なううえでの注意点
(リスク・副作用) - 機能性や審美性を重視するため自費(保険適用外)での診療となり、保険診療よりも高額になります。
- インプラントの埋入にともない、外科手術が必要となります。
- 毎日の清掃が不十分だった場合、インプラント周囲炎(歯肉の腫れや骨吸収など)を引き起こすことがあります
● 一般的なリスク・副作用
○ インプラント治療
- 機能性や審美性を重視するため自費(保険適用外)での診療となり、保険診療よりも高額になります。
- インプラントの埋入にともない、外科手術が必要となります。
- 高血圧症、心臓疾患、喘息、糖尿病、骨粗鬆症、腎臓や肝臓の機能障害などがある方は、治療を受けられないことがあります。
- 手術後、痛みや腫れが現れることがありますが、ほとんどの場合1週間ほどで治ります。
- 手術後、歯肉・舌・唇・頬の感覚が一時的に麻痺することがあります。また、顎・鼻腔・上顎洞(鼻腔の両側の空洞)の炎症、疼痛、組織治癒の遅延、顔面部の内出血が現れることがあります。
- 手術後、薬剤の服用により眠気、めまい、吐き気などの副作用が現れることがあります。
- 手術後、喫煙や飲酒をすると治療の妨げとなるので、1週間は控えてください。
- インプラントの耐用年数は、口腔内の環境(骨・歯肉の状態、噛み合わせ、歯磨きの技術、メンテナンスの受診頻度、喫煙の有無など)により異なります。
- 毎日の清掃が不充分だった場合、インプラント周囲炎(歯肉の腫れや骨吸収など)を引き起こすことがあります。
○ 骨造成
- 機能性を重視するため自費(保険適用外)での診療となり、保険診療よりも高額になります。
- 外科手術が必要となります。
- 手術後、痛みや腫れが現れることがありますが、ほとんどの場合1週間ほどで治ります。
- 治療後、骨がしっかりと作られるまで3~6ヵ月の治癒期間が必要です。
- 歯周病の方、心疾患や骨粗鬆症など内科的な疾患のある方は、骨造成治療が適さないことがあります。
- 口腔内の衛生状態の悪い方、顎骨が足りない方、免疫力や抵抗力が低下している方、歯周病発生リスクの高いとされる糖尿病の方、喫煙する方は、すぐに治療できないことがあります。
- 日常的に服薬しているお薬などが治療に影響することがあります。
- サイナスリフト・ソケットリフトの処置にあたり、上顎洞膜が破れる可能性があります。その場合、手術後に抗生剤を服用して感染を予防し、膜が自然に治癒するまで待ちます。
- 体の状態や細菌感染により、骨補填材と骨とが結合しない場合があります。この場合、原因を取り除き、ご希望があれば再治療を行ないます。
- 骨の成長途中であるお子さま(おおよそ18歳未満の方)、妊娠中の方は治療が受けられません。